阳春市人民医院近期成功救治多例食管异物患者 医生提醒:误吞异物切勿盲目采用喝醋、吞饭团等错误处置方式
家人围坐、亲友小聚,餐桌上的鸡鸭鱼肉、美酒佳肴本是幸福团圆的标配,但在享受美味的同时,有一种急症正悄然潜伏——食管异物。近期,我院胸甲状腺乳腺血管外科连续接诊多例食管异物患者,从老人误吞的鸡骨头到不慎卡喉的鱼刺,这些看似不起眼的“小意外”,实则暗藏巨大凶险。
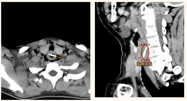
异物卡喉非小事,拖延治疗可能致命 在近期接诊的患者中,以误吞鸡骨头、鱼刺者居多。更令人揪心的是,近半数患者因疏忽早期症状,拖延多日才前来就诊,此时异物已对食管造成不同程度的损伤。有的患者出现颈部肿胀、皮下气肿,有的已形成纵隔脓肿、脓毒血症,更有甚者,鱼刺直接刺穿食管、扎破主动脉,随时可能引发致命性大出血,危及生命。 面对此类复杂危重病情,我院立即启动急诊救治绿色通道,胸甲状腺乳腺血管外科、消化内科、耳鼻喉科、麻醉科等多学科团队快速联动、高效协作:通过胸部CT精准定位异物的位置与形态,为治疗方案制定提供科学依据;消化内科与耳鼻喉科医生优先采用胃镜或硬质食管镜,尝试微创取出异物,最大限度减少患者创伤;对于内镜下难以取出的危重病例,胸甲状腺乳腺血管外科团队即刻完善手术方案,做好急诊手术准备。 其中,那例鱼刺刺穿主动脉的高风险患者救治尤为惊险。多学科团队紧急会诊后,先通过血管造影植入支架,成功封堵破损血管、筑牢安全防线,再精准操作取出异物,全程化险为夷,最终让患者顺利康复。截至目前,所有接诊的食管异物患者均已痊愈出院。 这些“土方法”千万别用,等于拿生命冒险 生活中,很多人遇到异物卡喉时,第一反应便是吞饭团、喝醋、抠喉咙,殊不知这些做法不仅无效,反而会对食管造成二次伤害,甚至危及生命。 ×吞饭团/馒头:会将卡在食管入口的异物强行推向深处,极易刺破薄弱的食管壁,原本可通过微创轻松取出的异物,可能因此需要开胸手术,加重患者痛苦与治疗风险。 ×喝醋:醋在食管内停留时间仅数秒,根本无法软化鱼刺、骨头等坚硬异物,反而会刺激已受损的食管黏膜,加重炎症反应,得不偿失。 ×强行催吐:剧烈呕吐会引发食管痉挛,可能导致异物刺入更深部位,甚至造成食管穿孔,引发严重感染。 ☑正确做法:立即停止进食、饮水,减少吞咽动作,保持情绪平稳,第一时间前往正规医院就诊。就诊时,尽量清晰告知医生误吞的异物类型、时间及自身症状,配合完成影像学检查,由专业医生判断最优治疗方案。需特别提醒的是,异物嵌顿24小时内是救治黄金期,此时内镜取出成功率高,并发症风险也最低,切勿拖延。 守护食管健康,记住这三个预防要点 我院胸甲状腺乳腺血管外科主任于福田提醒广大市民:食管异物看似是意外,实则大多可通过养成良好的进食习惯有效避免,牢记以下几点,守护自己和家人的食管健康。 ☑ 进食专注,细嚼慢咽:吃饭时避免说笑、看手机,集中注意力进食,每口食物咀嚼20次以上,尤其食用鱼类、带骨肉类时,务必仔细剔除骨头,切勿急躁。 ☑ 高危人群重点防护:老年人佩戴的假牙需定期检查松紧度,防止进食时脱落误吞;进食时尽量将食物切成小块,便于吞咽。儿童身边切勿放置硬币、纽扣电池等细小物件,避免在哭闹、跑动时喂食,防止误吞。 ☑ 摒弃危险操作:一旦误吞异物,切勿心存侥幸等待“自然排出”,更不要盲目尝试各类民间偏方,及时前往正规医院就诊,才是最安全、最可靠的选择。 美味诚可贵,安全价更高。愿每一位市民都能养成良好的进食习惯,警惕餐桌异物风险,我院多学科团队也将始终坚守岗位,以精湛医术、高效协作,为广大市民的生命健康保驾护航。






