医德医风|锦旗映初心 康复暖人心——阳春市人民医院康复医学科助重症患者重拾生活希望
【写于开篇】在我院的一线医护工作中,每天都发生着许许多多动人的故事:一次成功的救治,一次辛苦的手术,乃至一句叮嘱,一个微笑,落在患者和家属眼里,都能化作无限的感动,流诸笔端,便成了一封/面沉甸甸的感谢信/锦旗。为发现隐于感谢信/锦旗中既平凡入微又伟大可敬的故事,我们特开设“医德医风”专栏,不定期推送医德医风正能量。
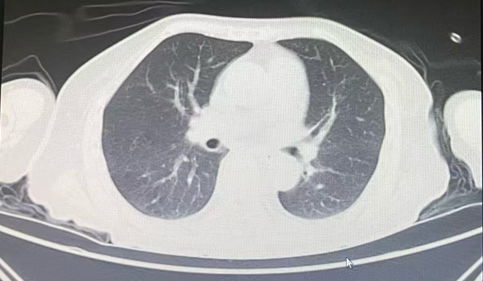
锦旗赠送人:刘女士及家人。 受表扬者:康复医学科主任衣哲、医生杨冰及其他医护人员。 近日,一面镌刻“医德高尚,仁心仁术;医术精湛,尽职尽责”的鎏金字样锦旗,被郑重送到我院康复医学科医护人员手中。这面鲜红的锦旗,承载着患者刘女士及其家属的深切感激,背后是一段跨越数月的守护历程——在医护团队协助下,曾卧床不起的刘女士逐步改善身体功能,重拾生活信心。 几个月前,一场突如其来的车祸让刘女士生命垂危。经我院ICU团队全力抢救,她的生命体征趋于稳定,但遗留颈部脊髓损伤、双下肢感觉痛觉消失等问题,需依靠气管切开套管维持呼吸、通过胃管获取营养,自主呼吸、吞咽功能丧失,生活完全无法自理。 转入康复医学科时,刘女士的状况仍面临诸多挑战。据科室衣哲主任和主管医生杨冰介绍,当时影像检查显示其肺部炎症明显、痰液淤积,日常需多次吸痰护理,部分时段需通过纤支镜清理痰液,气管切开封管与胃管拔除也需结合病情逐步推进。 针对刘女士的情况,康复医学科迅速组建由医生、康复治疗师、护士构成的协作小组。团队先对其病情进行全面评估,结合患者个体身体状况、疾病恢复阶段及家属合理期望,制定个体化、分阶段康复治疗方案,重点围绕呼吸功能改善、吞咽能力恢复、肢体活动能力提升开展工作。 康复过程中,团队先从呼吸功能干预入手:治疗师每日为刘女士进行肺部叩击、体位引流,助力气道分泌物清除;同时指导其进行缩唇呼吸训练,逐步锻炼呼吸肌力量与咳嗽能力。吞咽功能训练同步开展,治疗师采用冰刺激、空吞咽训练、门德尔松手法等方式给予指导;待其肺部炎症减轻、痰液减少后,在严密观察下尝试让她吞咽少量水与糊状食物。每一步进展,均是团队细致护理与患者积极配合的结果。 康复治疗前胸部CT提示:左肺大片状感染,左肺下叶实变,气管痰栓形成。 康复治疗后胸部CT提示:左肺感染基本吸收,原左肺实变已恢复为正常肺组织。 在呼吸、吞咽功能逐步改善的同时,肢体康复训练也有序推进。治疗师为刘女士开展关节松动术,缓解肌肉痉挛、预防关节僵硬;辅助其进行翻身训练、起立床站立训练。从需两人协助侧翻到能自主轻微移动身体,从无法坐起到顺利坐稳轮椅,过程中融入了反复的平衡训练与核心肌群强化,护士在日常护理中也会同步开展床边康复指导,鼓励刘女士主动参与,帮助其建立康复信心。 截至送锦旗当天,刘女士已在医护团队操作下成功实施气管切开套管封管、拔除胃管,能够坐在轮椅上用勺子自主进食,还能清晰向医护人员表达感谢,脸上重新展现出对生活的期待。 “这面锦旗是认可,更是我们坚守职责的动力。”康复医学科医护团队表示,科室自成立以来,始终遵循“以患者健康为中心”的服务理念,在医疗规范框架下,结合患者病情提供重症康复、功能重建、心理疏导等针对性服务,力求在专业诊疗与人文关怀上形成合力。





